O CBCT HÍBRIDO COMPLETO PARA IMAGENS 2D / 3D.
IMAGENS DE ALTA RESOLUÇÃO QUE CAPTAM O MENOR DETALHE.
GiANO HR é o dispositivo versátil e atualizável da NewTom para todas as necessidades relacionadas à radiologia. Com uma gama completa de opções de exames 2D e 3D para odontologia, oferece exames volumétricos múltiplos específicos para cirurgia maxilofacial, otorrinolaringologia e exames de coluna cervical. Apenas imagens de alta qualidade com a tecnologia e experiência da NewTom.
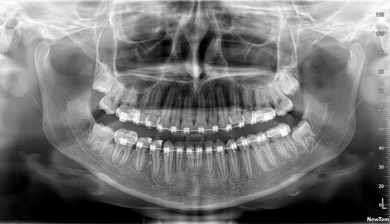
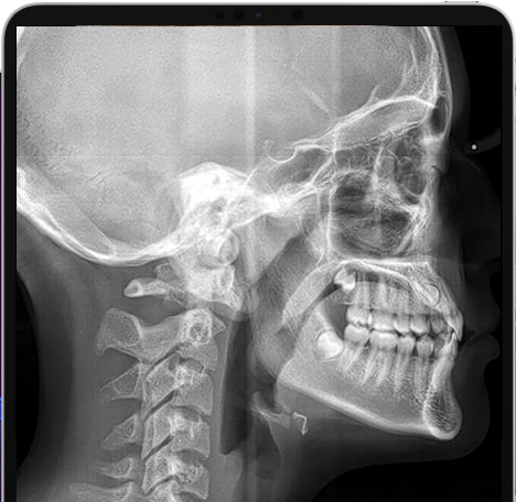
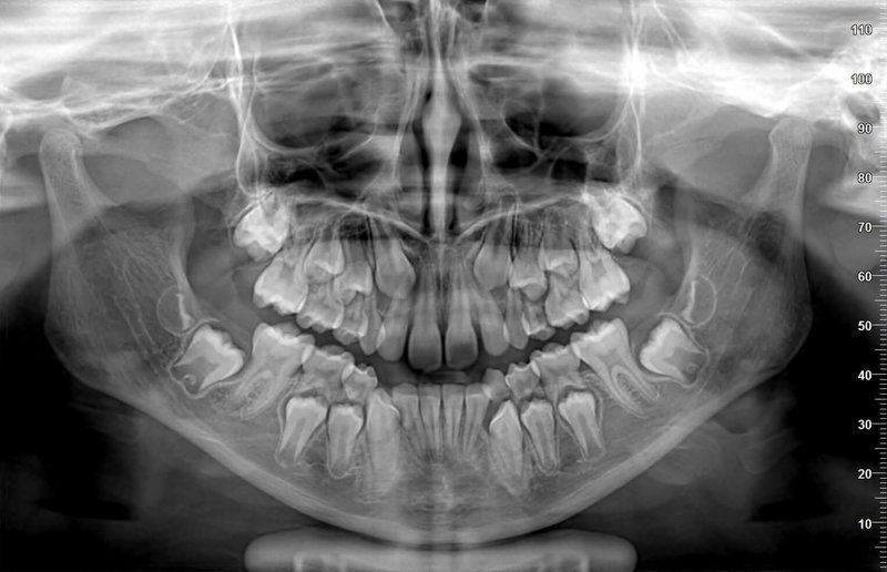
Veja exemplos de diagnósticos de imagem
Conheça mais sobre o Giano HR

O NewTom é altamente versátil com a escolha da configuração mais adequada para as necessidades diagnósticas da clínica ou da prática radiológica.
A configuração 3D Prime é ideal para aplicações em odontologia geral, implantologia, endodontia, gnatologia e ortodontia geral.
A configuração 3D Advanced amplia o potencial para as áreas de odontologia e otorrinolaringologia (ORL), incluindo o exame das vias aéreas superiores. A configuração 3D profissional permite o acesso a uma nova dimensão que inclui aplicações para toda a área odonto-maxilofacial e coluna cervical.
GiANO HR oferece uma ampla gama de exames 2D e 3D que são ideais para diagnósticos relativos a dentição completa ou parcial, arcada dentária única e todas as regiões maxilofaciais. Volumes 3D com FOV de 4 x 4 cm e 16 x 18 cm e resolução de até 68 μm, a maior resolução disponível no mercado, permitem avaliar seios maxilares, seios frontais, articulações temporomandibulares, vias aéreas e orelha interna.


GiANO HR é um dispositivo extremamente versátil que oferece imagens detalhadas e protocolos dedicados para adultos e crianças, estudados para reduzir a exposição do paciente com base nas reais necessidades da investigação. Avaliação precisa de dentes não irrompidos, incluindo fraturas e irregularidades ósseas, próteses dentárias, aparelho ortodôntico e implantes. Um único dispositivo projetado para oferecer nova tecnologia 2D para diversas aplicações de diagnóstico: imagens panorâmicas completas para adultos e crianças com excelente ortogonalidade, imagens de alta resolução de mordida e da dentição (completa ou em quadrantes), vistas das articulações temporomandibulares (ATM) e dos seios maxilares.
O sensor de conversão direta pode elevar ainda mais o nível da qualidade de imagem já muito alta do GiANO HR. Ao contrário dos sensores tradicionais, o Detector de conversão direta de teloreto de cádmio (Cd-Te) não requer a conversão de raios X em luz visível - pois é capaz de detectá-los diretamente e convertê-los em sinais digitais precisos. Desta forma, imagens diagnósticas de resolução extremamente alta podem ser obtidas em baixas doses de raios-X, e imagens altamente detalhadas podem ser produzidas mesmo onde varreduras rápidas em Dose ECO são mais indicadas.


Um sistema de aquisição de última geração para a obtenção de imagens panorâmicas e cefalométricas claras e homogêneas em um aparelho extremamente compacto. O sensor CMOS de alta sensibilidade e o tubo de raios-X inovador garantem uma qualidade de imagem inovadora.
GiANO HR gera volumes com uma faixa de FOV de 4 x 4 cm a 16 x 18 cm: exames precisos para cada necessidade diagnóstica. Ampla escolha de campos de visão e modos de execução para aplicações dedicadas aos exames endodônticos, otorrinolaringológicos e de cabeça e pescoço, com resolução de até 68 μm, a mais alta resolução do mercado.


O poderoso gerador de alta frequência com ponto focal muito pequeno produz exames excelentes e reduz a exposição do paciente ao mínimo, enquanto garante um fluxo de trabalho rápido com exames realizados em intervalos próximos sem superaquecimento da unidade.
Uma interface fácil e amigável para selecionar o modo de exame mais apropriado. Três protocolos de investigação predefinidos permitem identificar efetivamente o modo de aquisição de imagem mais adequado.
ECO Scan: modo indicado para exames de rotina, como acompanhamento pós-operatório e análise macroestrutural.
MODO REGULAR: Imagens 3D de alta resolução que são ideais para um diagnóstico primário e para planejar o tratamento.
MELHOR QUALIDADE: Um nível excepcional de detalhe para as melhores imagens de alta resolução disponíveis no mercado sem concessões.


GiANO HR é projetado para excelente conforto e segurança para o paciente em todas as situações, como resultado de excelente ergonomia e tempos de emissão muito baixos.
DOSE BAIXA - Durante o exame, o gerador pulsado permite a exposição mínima do paciente às radiações (33% - 25% do tempo de varredura).
ECO SCAN 3D - Permite obter imagens volumétricas com uma varredura rápida (mínimo 3,6 segundos) e com uma dose do paciente consideravelmente reduzida (exposição mínima de apenas 0,9 segundos).
SAFEBEAM ™ (patenteado) - Adapta automaticamente a dose irradiada à constituição do paciente, reduzindo a possibilidade de uma dose desnecessariamente alta.
O posicionamento auto-adaptável com três guias de laser e unidade de suporte de cabeça de 7 pontos tornam o processo fácil e sempre garantem imagens alinhadas.
PAINEL DE CONTROLE NA MÁQUINA
SUPORTE DE CABEÇA DE 7 PONTOS E GUIA LASER
POSICIONAMENTO FÁCIL DO CEPH

A plataforma definitiva para adquirir, processar e compartilhar imagens de diagnóstico 2D / 3D.
NNT é o software da NewTom que fornece vários modos de aplicação dedicados especificamente destinados a implantologia, endodontia, periodontia, cirurgia maxilofacial e radiologia. É um poderoso dispositivo tecnologicamente de ponta, projetado para adquirir e processar imagens em algumas etapas simples para obter as informações necessárias para o diagnóstico detalhado específico do paciente. Um dispositivo avançado que fornece ao médico especialista ferramentas dedicadas para medir o distrito anatômico (distâncias e ângulos), rastrear o nervo alveolar inferior e medir o volume das vias aéreas superiores.
Fale agora com nossos consultores, será um enorme prazer falar com você.
Falar no WhatsApp whatsappcall(43) 3542-3939
businessRua Eurípedes Rodrigues, 755 - Salas 703 e 704
location_onCentro - Bandeirantes-PR